DISFUNO TEMPOROMANDIBULAR DOR OROFACIAL : QUE DOENA ESSA?

A Disfuno Temporomandibular (DTM) uma doena ainda pouco conhecida, mas que afeta milhes de pessoas no Brasil e no mundo.
Entre a populao mais afetada esto as mulheres, entre 20 e 40 anos, e, atualmente, est havendo um aumento entre o grupo de crianas e adolescentes.
Os pais devem ficar atentos aos sinais apresentados por seus filhos, pois crianas, principalmente que transtornos de ansiedade e alta estimulao com celulares e jogos de internet, tambm podem comear a desenvolver a doena.
A DTM causa sofrimento, diminuio da qualidade de vida e restrio do convvio social.
A DTM ainda pouco conhecida por profissionais da sade, como mdicos, dentistas e, pela populao em geral, por isso, muitos ainda acreditam que as causas sejam anatmicas como falta ou desalinhamento dos dentes (dentes tortos), assimetria facial ou desgaste das articulaes.
Porm suas causas esto mais relacionadas a doenas emocionais como estresse, ansiedade, distrbios do sono, problemas otolgicos (de ouvido) e reumatolgicos, ou at mesmo, por uso de alguns medicamentos para tratamento de ansiedade e depresso.
Alguns sinais da DTM tambm podem ser percebidos na articulao temporomandibular, a ATM.
A ATM articulao responsvel pelos movimentos da boca de abertura/fechamento, fala, mastigao e deglutio (ato de engolir) dos alimentos.
Os sinais de DTM mais comuns so os estalos, travamento e inflamaes. Mas alm desses, a DTM pode apresentar como sintomas:
- dor ou cansao nos msculos da mastigao e da face, principalmente na regio prxima aos ouvidos, na regio das articulaes da boca (ATM);
- diminuio nos movimentos da boca (mandbula), com ou sem dor, podendo at mesmo haver travamentos de boca aberta (?queixo cair?) ou travamento de boca fechada (no conseguir abrir a boca);
- dor de cabea, mais de 2 vezes na semana, de um lado ou ambos os lados, principalmente ao acordar ou no final do dia;
- tenso no pescoo que pode espalhar como uma dor para cabea (enxaqueca ou cefaleia tensional) ou rosto;
- cliques, estalos ou rudos, prximo aos ouvidos, ao abrir e fechar/boca, na mastigao e ao bocejar;
- diminuio da fora ao morder alimentos duros ou fibrosos, com dificuldade de triturao adequada dos alimentos;
- alterao na mordia ou no encaixe entre os dentes ao mastigar;
- zumbidos nos ouvidos.
Os sintomas comuns de dor das DTMs podem ser aumentados pelo apertamento de dentes durante o sono ou mesmo em viglia (acordado), que comumente conhecido como Bruxismo.
O Bruxismo no uma DTM e, atualmente, no considerado como causador da DTM, mas est associado aos sinais de dor na face e, principalmente, desgaste, fraturas ou trincas dos dentes devido ao ranger.
O ranger dos dentes o atrito entre os dentes, um movimento tpico do bruxismo, produzido pelos msculos da face e da mastigao, de maneira inconsciente e imperceptvel pelo indivduo.
Os principais sinais da DTM nos dentes so desgastes e fraturas, inflamaes e retraes de gengiva.

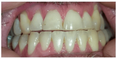
PACIENTE 1: DESGASTES DOS DENTES SUPERIORES PELO BRUXISMO OU RANGER DE DENTES

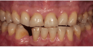
PACIENTE 2 E 3 : DESGASTES DE TODOS OS DENTES PELO BRUXISMO

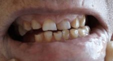
PACIENTE 4 E 5: DESGASTES E FRATURAS DOS DENTES PELO BRUXISMO

PACIENTE 6: DESGASTES E FRATURAS DOS DENTES PELO BRUXISMO
Para o tratamento das DTMs so indicados tratamentos controle dos sinais e sintomas de dores musculares, minimamente ou no invasivos.
Isso porque o paciente um doente crnico, ou seja, demora anos para ter sua queixa de dor controlada e porque as causas esto relacionadas ao emocional principalmente, ento no podemos falar em cura.
O controle da dor muscular (ou miofasciais) conservador e no invasivo, no sendo necessrio uso de remdios, cirurgias ou tratamentos com prteses sseas ou das articulaes.
Dentre os tratamentos mais indicados esto:
- O uso de placas acrlicas durante o sono para diminuir o atrito e desgaste dos dentes, controlando e diminuindo as consequncias e sinais dentrios do Bruxismo que interferem no aumento dos sintgomas das DTMs;
- Reabilitaes dentrias com facetas, lentes de contato, coroas protticas e implantes para restabelecimento da esttica e funo mastigatria e, consequente, melhora da mastigao e digesto dos alimentos com diminuio de problemas de estmago;
-Tratamento das dores musculares e dores de cabea (cefaleias) com ?agulhamento seco? (Dry Needling) e Estimulao Eltrica Nervosa Transcutnea (TENS).
PLACAS ACRLICAS PARA PROTEO DOS DENTES DURANTE O SONO

TRATAMENTO COM AGULHAMENTO SECO (Dry Needling) DE PACIENTES COM DTM
EQUIPAMENTO E PACIENTES EM TRATAMENTO COM ESTIMULAO ELTRICA NERVOSA TRANSCUTNEA (TENS)


Quanto mais cedo o tratamento controle comear, mais fcil a diminuio dos sintomas e sinais de dor, evitando tambm que os dentes fiquem com aspectos desgastados ou quebrados pelos bruxismo associado as DTMs.
Vale destacar que alguns aspectos podem prevenir o distrbio, como uma boa noite de sono, no morder objetos duros e evitar estresse no dia a dia.
A DTM considerada uma doena, que foi reconhecida pelo Conselho Federal de Odontologia (CFO) como especialidade odontolgica em 2001.
Por isso o diagnstico e o tratamento das dores, das desordens dos msculos da mastigao, da ATM e da regio orofacial, provocadas pelas DTMs so de competncia do Dentista Especialista em Disfuno Temporomandibular e Dor Orofacial.
Se voc se identificou com alguns destes sinais, agende uma avaliao com nossa especialista em DTM/DOF e garanta a sua sade e a certeza do melhor tratamento para recuperar sua qualidade de vida e a esttica do seu sorriso.
