CONHEA OS TIPOS DE APARELHOS ORTODNTICOS! E VEJA QUAL O APARELHO MAIS INDICADO PARA VOC!
Os aparelhos ortodnticos tm um papel importante na autoestima dos pacientes. Ele corrige os dentes devolvendo a alegria de sorrir!
Existem vrios tipos de aparelhos, que podem ser discretos, quase invisveis. E tambm tem aparelhos mais visveis, com borrachinhas coloridas.
Os aparelhos ortodnticos so indicados para adultos e crianas.
Continue a ler este post, para saber mais sobre os aparelhos ortodnticos!
Tipos de aparelhos ortodnticos:
Existem aparelhos fixos e removveis
Aparelho fixo autoligado
Este aparelho proporciona maior conforto para os pacientes. Ele composto por braquetes metlicos que no precisam de borrachinhas.
Esses aparelhos possuem um clipe de fechamento que prende o fio diretamente no braquete.
Esse sistema permite que o tratamento seja mais confortvel e mais rpido. A ausncia das borrachinhas diminui o atrito entre fio e braquete, assim o aparelho funciona com mais eficincia e rapidez.

E para quem quer um aparelho mais discreto, tem o aparelho autoligado esttico que pode ser de safira ou de porcelana.

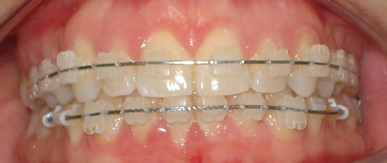
Aparelho fixo metlico
um dos aparelhos ortodnticos mais utilizados pelas pessoas. O aparelho composto por braquetes, fios, borrachinhas, bandas e/ou tubos colados nos dentes.
Como um aparelho fixo, ele precisa de uma adequada higienizao, para no acumular resduos, evitando a formao de cries e problemas na gengiva.
um aparelho muito popular entre os adolescentes, que gostam de colocar as borrachinhas coloridas e podem mudar de cor a cada consulta.

Aparelho fixo esttico
Indicado para quem est procurando um aparelho mais discreto, com excelente esttica. So braquetes transparentes, que no desgastam, oferecendo mais beleza e segurana aos pacientes.
H dois modelos de braquetes estticos, o de safira e o de porcelana. Conhea mais sobre eles, para saber qual o mais indicado para voc!
o mais discreto, feito de cermica monocristalina, que deixa o braquete com aspecto bem translcido semelhante ao vidro polido.
Ele fica praticamente invisvel quando colado no dente e no fica amarelado durante o tratamento. o modelo de braquete esttico mais resistente.

Ele feito de cermica policristalina, que confere ao braquete uma colorao mais opaca e leitosa.
So braquetes que apresentam uma boa resistncia, no quebram com facilidade e no mudam de cor durante o tratamento.

Alinhadores transparentes
So os aparelhos mais modernos na atualidade, conhecido como aparelho invisvel. Confeccionados com o auxlio de softwares especficos e impressoras 3d, feitos de forma individualizada para cada paciente de acordo com sua arcada dentria.
um aparelho transparente, removvel, confortvel, prtico e moderno. E por ele ser removvel, ele pode ser retirado na hora das refeies e da higiene bucal, oferecendo um maior conforto para o paciente. E para esse tipo de aparelho no h a necessidade de o paciente ir mensalmente ao consultrio, uma vez que a troca dos alinhadores realizada em casa de acordo com as orientaes do dentista.

Conhea o Invisalign

Aparelho removvel
um aparelho que o prprio paciente coloca e retira da boca. Tratamentos com esse tipo de aparelho dependem da cooperao do paciente.
Ele pode ser um aparelho removvel funcional, indicado para crianas at 12 anos. Estes aparelhos fazem pequenas movimentaes dentrias e tratam as bases sseas, como uma relao inadequada de maxila e mandbula.
Ou pode ser um aparelho removvel de conteno, utilizado aps o final do tratamento ortodntico, com a finalidade de manter os dentes na posio correta, evitando uma recidiva no tratamento. O tempo de uso deve ser de acordo com o recomendado pelo ortodontista.

Ficou com dvidas sobre os tipos de aparelhos ortodnticos? Entre em contato com nossa equipe!
